总所周知,狗的鼻子具有灵敏的嗅觉,但最近一项研究显示,狗只也可能是靠着其他动物发出的热辐射,而做出反应。

据路透社报导,瑞典隆德大学(Lund University)与匈牙利罗兰大学(Lorand University)的科学家指,狗的鼻尖具有类似红外线感应器的“装置”,使它们能侦测温度的变化,例如附近动物的体温。

这项研究将有助于科学家了解,动物如何藉由这样的本能进行猎食,该研究是于2月28日在《科学报告》杂志上发表。

 

图片显示了狗的温度区域,狗鼻子在低温的情况下,才能发挥探测热辐射的功能。-图片摘自《科学报告》网站-
图片显示了狗的温度区域,狗鼻子在低温的情况下,才能发挥探测热辐射的功能。-图片摘自《科学报告》网站-

在研究中,科学家在狗的鼻尖发现潮湿的皮肤表面,布满了神经末梢,该功能就像红外线感应器。

科学家以边境牧羊犬(border collie)以及黄金猎犬(golden retriever)进行测试,当它们接近温暖或较冷的物体时,大脑的特定区域会不会显示较多的活动。

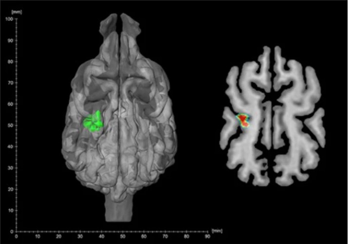
左边为3D扫描构图,科学家进行测试时发现,狗只附近有温暖物体时,大脑活动量有所增加。-图片摘自《科学报告》网站-
左边为3D扫描构图,科学家进行测试时发现,狗只附近有温暖物体时,大脑活动量有所增加。-图片摘自《科学报告》网站-

大脑扫描结果显示,当狗只附近有比较温暖的物体时,大脑活动量有所增加。

科学家巴林特(Anna Balint)说:“狗可感受较温暖的物体所发出的热辐射,它们可根据该讯号对其行为进行指挥。”

科学家认为,这项研究有助于了解掠食者在视觉、听觉或嗅觉受阻的情况下,依然可侦测到猎物的动静。

隆德大学科学家克罗格(Ronald Kroger)表示,其他食肉科动物可能也有类似功能。

“对于这种能感应体热的掠食者而言,其猎捕策略和生物学都必须重新检视。”

研究也指,这些发现对于自然灾害后,选择适合进行营救行动的犬种,也有极大的帮助。